Ortho Preferred Malpractice Insurance
Home » Bones » Spine » Multiple Myeloma

Multiple Myeloma

(see also: Bone Tumor Menu)

DiscussionHumerus 10

  • myeloma is malignant tumor of plasma cells arising from a single clone;
  • multiple myeloma accounts for > 40% of primary malignant tumors of bone.
  • it is most common malignant primary tumor of bone
  • may arise as single intraosseous tumor but more often it develops as multiple painful lesions throughout skeleton (multiple myeloma);
  • whether from single or multiple sites, myeloma spreads to involve virtually entire bone marrow which eventually produces death;

prognosis

  • eventual prognosis is poor;
  • w/ chemotherapy, survival time of 3-5 years is not uncommon;

histology

  • normal marrow biopsy may show upto 8 % plasma cells;
  • between 10-20 % suggest myeloma;
  • greater > 20-30 % plasma cells on bx is diagnostic of myeloma;
  • immunohistochemical studies: may reveal lambda light chains or heavy chains and kappa light chains;

Clinical Presentation

  • pts present in their middle fifties or older (60-70 yr)
  • constitutional symptoms, anemia, thrombocytopenia, and renal failure;
  • approx 80% of pts have chief complaint of bone pain w/ diffuse bone tenderness, particularly over the sternum and pelvis.
    • pathological frx of spine or femur may be heralding event;
  • symptoms range in duration from as short as few wks to as long as 2 yrs.

Lab Studies for Multiple Myeloma »

Radiographic Studies

  • standard x-rays may show diffuse osteopenia
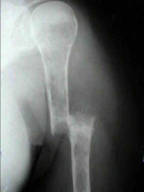
  • "punched-out lesions" w/ no surrounding new-bone formation;
  • over time lesions may change from diffuse osteopenia to more permeative moth-eaten destructive pattern, sometimes w/ cortical expansion;
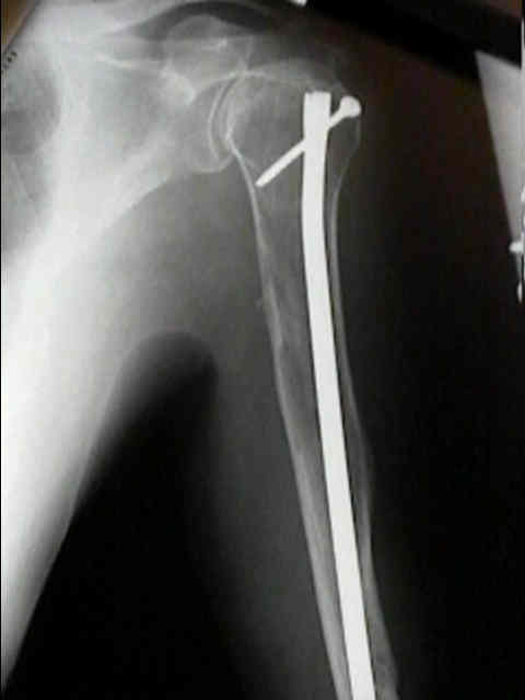
  • bone destruction occurs w/ little or no reactive bone formation unless pathologic frx is present;
  • bone scans:
    • may or may not appear cold;
    • bone-scanning, although likely to show incr activity at site of frx, shows no increase even at site of discrete lesion in 25 % of patients;
  • MRI:
    • MRI of spine may show evidence of patchy areas, consistent with marrow element disease;
  • skeletal survey:
    • skeletal survey is the most useful radiographic study to make the diagnosis;
    • myeloma may present as solitary lesion or more commonly a diffuse tumor, involving multiple bones, including vertebrae, skull, pelvis and femurs;
    • look for one fracture or more in the spine;
    • sharply delineated punched-out lesions are seen best in skull;

    Humerus 10

    Humerus 11

    Humerus 12

Treatment

XRT

  • myeloma is sensitive to XRT, & reossification of tumor defects may ocurr within several months.
  • XRT is recommended for intractable bone pain, esp if pain is localized;
  • it can be dramatically effective in relieving symptoms;

Chemo

  • when dz is disseminated, chemo is indicated;
  • year survival remains under 30%;

Surgical Fixation

mmyl1 mmyl2